Menu Cheadle Hulme Dental And Cosmetics Logo
Referrals

Request a free consultation: 0161 486 0743

Book a free online consultation

Cheadle Hulme Dental

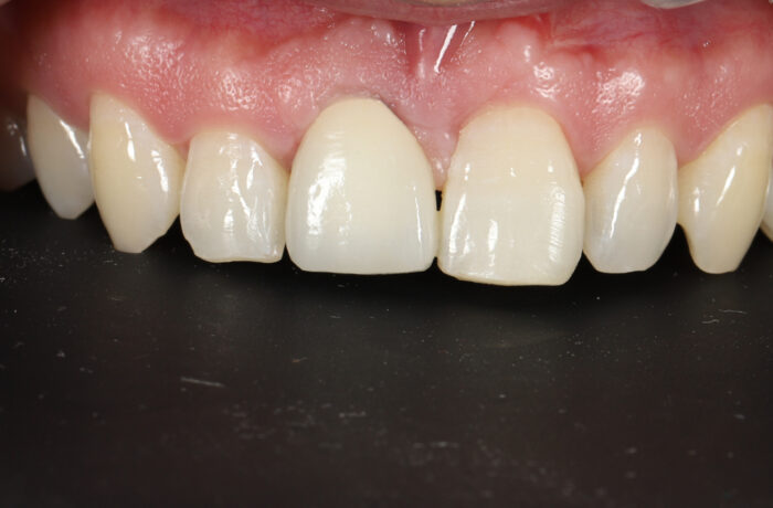
We used an implant here to fill a space which was left by an extracted tooth

For more information regarding this treatment
Contact us or Call 0161 486 0743
Back to Smile Gallery

Get in touch

Treatments

Taking your smile in a positive direction

When it comes to a friendly, caring, and professional dentist in Cheadle Hulme, you won’t find better than Cheadle Hulme Dental and Cosmetics. Why not book an appointment by contacting us directly at 0161 486 0743? We look forward to welcoming you.

General Dentistry

Cosmetic Dentistry

Teeth Straightening

Dental Implants

Advanced Dentistry

Facial Aesthetics

General Dentistry

Cosmetic Dentistry

Teeth Straightening

Dental Implants

Advanced Dentistry

Facial Aesthetics

View our treatments

Tour our practice

Google Rating
5.0
Google Rating

Let us implant our reputation in your smile
If you’re ready for a beautiful smile, you’ll love Invisalign clear aligners.
Implant open day
Invisalign open day
Discover Dates!
Discover Dates!