Before & after dental implants
This complex treatment involved the removal of all upper and lower teeth and placing multiple implants followed by implant supported bridges
Read moreThis amazing transformation involved removing upper loose and failing teeth. We then placed multiple implants and a fixed bridge
Read moreIn this patient we removed all remaining failing upper teeth and placed multiple implants and an implant supported fixed bridge
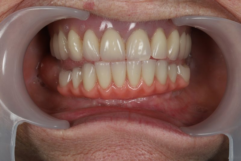
Read moreIn this case, we removed all upper and lower failing teeth and placed multiple implants. We then used the implants to support fixed bridges.
Read moreThis case involved removing all remaining upper and lower teeth and placing multiple implants. These were then used to support fixed upper and lower bridges
Read moreIn this case, we removal all upper failing teeth, placed implants and made an implant supported bridge.
Read moreGet in touch
Treatments
Taking your smile in a positive direction
When it comes to a friendly, caring, and professional dentist in Cheadle Hulme, you won’t find better than Cheadle Hulme Dental and Cosmetics. Why not book an appointment by contacting us directly at 0161 486 0743? We look forward to welcoming you.































