In this complex case, we used an upper and lower fixed brace. Once alignment was complete, we placed a combination of crowns and veneers on…
Read moreIn this very complex case, we first moved the teeth into a better position after removing 2 upper teeth. Following on, we placed veneers on…
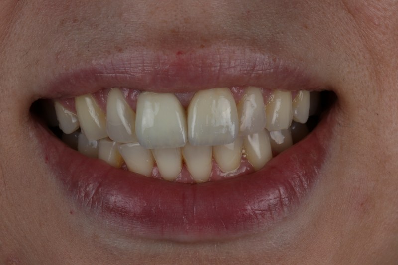
Read moreIn this case we removed old crowns and veneers and redesigned the smile with 12 crowns/veneers on the upper teeth only, to create a more…
Read moreupper and lower smile makeover
This patient had suffered with tooth wear and was unhappy with his smile. We digitally planned his smile makeover and placed 25 veneers/crowns in total…
Read moreThis complex case involved removal of 4 teeth and some crowns on front teeth
Read moreComposite bonding was used here, along with a replacement of a single crown
Read moreupper smile makeover
For this complex smile makeover, teeth straightening was first advised The patient just wanted to treat this with ceramic work so we didn't go down…
Read morecrowns and an implant
This case involved replacing an upper front crown and placing an implant on the upper left hand side
Read morecomplex orthodontics followed by ceramic crowns
This complex case was done in stages We first aligned the lower teeth using fixed braces Upper crowns were then replaced and we then used…
Read moreCrowns Gallery Case 1
this complex case involved gum reshaping, crowns and veneers to lengthen the worn teeth and completely re-design the smile
Read moreGet in touch
Treatments
Taking your smile in a positive direction
When it comes to a friendly, caring, and professional dentist in Cheadle Hulme, you won’t find better than Cheadle Hulme Dental and Cosmetics. Why not book an appointment by contacting us directly at 0161 486 0743? We look forward to welcoming you.








































