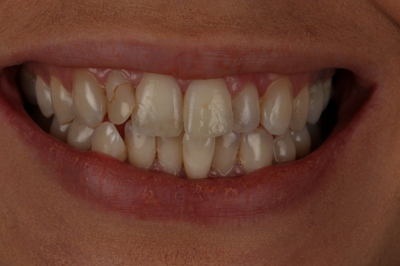
Orthodontics Gallery Case 3
this patient had upper and lower fixed braces and some teeth whitening
Read moreOrthodontics Gallery Case 4
This complex case was treated using upper and lower fixed ceramic braces
Read moreOrthodontics Gallery Case 5
this case with multiple cross bites was treated with upper and lower fixed ceramic braces
Read moreOrthodontics Gallery Case 6
this case was treted using upper and lower fixed braces followed by composite bonding
Read moreOrthodontics Gallery Case 7
Upper and lower fixed braces were used here, followed by composite bonding to transform this smile
Read moreOrthodontics Gallery Case 8
An upper and lower fixed ceramic brace was used in this case to straighten the patient's teeth
Read moreOrthodontics Gallery Case 9
This case was treated using a fixed upper and lower brace and composite bonding
Read moreOrthodontics Gallery Case 10
this difficult case with a cross bite was tackled using upper and lower fixed braces
Read moreGet in touch
Treatments
Taking your smile in a positive direction
When it comes to a friendly, caring, and professional dentist in Cheadle Hulme, you won’t find better than Cheadle Hulme Dental and Cosmetics. Why not book an appointment by contacting us directly at 0161 486 0743? We look forward to welcoming you.














