Smile Makeover Case 39
This difficult case involved crown lengthing to lift the gum height, teeth whitening and ceramic crowns
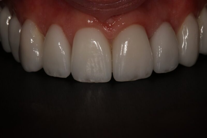
Read moreSmile Makeover Case 40
This case involved replacement of 2 old crowns and some replacement composite fillings
Read moreSmile Makeover Case 42
This was a very difficult case The patient didn't want a brace at all. We used veneers to improve the look of her front 4…
Read moreSmile Makeover Case 43
This patient had her old crowns for over 30 years She decided to change them to new crowns which were lighter and more natural looking
Read moreSmile Makeover Case 44
This patient lost his teeth over 20 years ago After many years of wearing a denture, he finally decided to go for an implant supported…
Read moreSmile Makeover Case 45
This case involved teeth whitening and 4 veneers to transform this smile
Read moreSmile Makeover Case 46
This was an immediately loaded implant case (all on 4) The bite needed changing and most upper teeth were unsalvagable. All upper teeth were removed…
Read moreSmile Makeover Case 47
This difficult case involved restoring proportions and closing a space. Gum and bone surgery were done in order to make the teeth longer. A bridge…
Read moreSmile Makeover Case 48
This difficult case involved restoring proportions and closing a space. Gum and bone surgery were done in order to make the teeth longer. A bridge…
Read moreGet in touch
Treatments
Taking your smile in a positive direction
When it comes to a friendly, caring, and professional dentist in Cheadle Hulme, you won’t find better than Cheadle Hulme Dental and Cosmetics. Why not book an appointment by contacting us directly at 0161 486 0743? We look forward to welcoming you.














