Teeth Whitening Gallery Case 6
This patient had composite bonding on 2 teeth to mask the area of poorly produced enamel
Read moreTeeth Whitening Gallery Case 7
A combination of composite bonding and teeth whitening was used here
Read moreTeeth Whitening Gallery Case 8
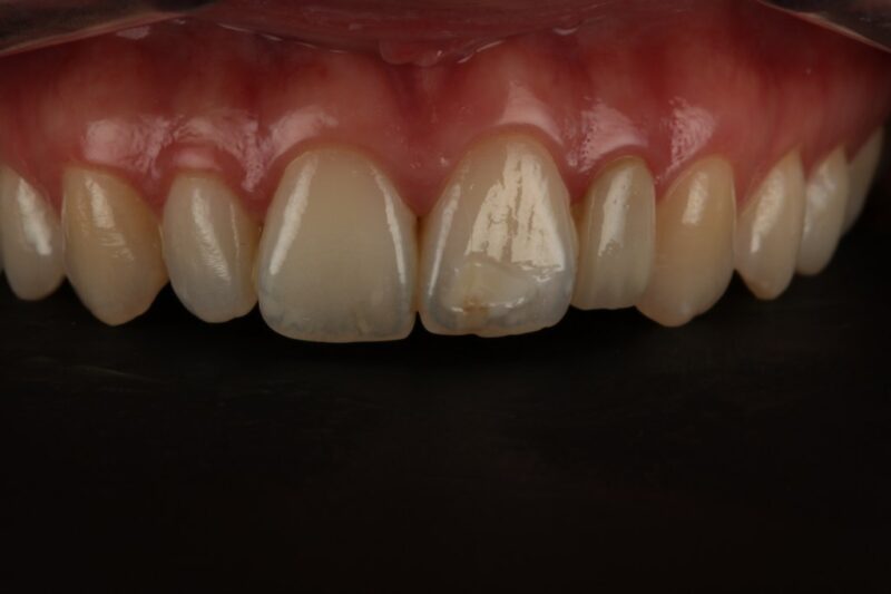
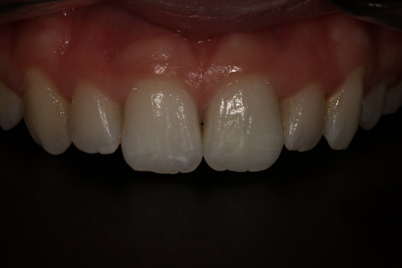
This young lady had a root canal treated tooth which had discoloured over time. The treatment involved no drilling or damage to the tooth. We…
Read moreTeeth Whitening Gallery Case 9
This case involved teeth whitening and 4 veneers to transform this smile
Read moreTeeth Whitening Gallery Case 10
This difficult case involved the treatment of a dark and infected tooth. The teeth were first whitened and then cosmetic veneers were placed on the…
Read moreTeeth Whitening Gallery Case 11
This patient was unhappy with the discolouration of his teeth as well as the wearing of his teeth edges We use a combination of enlighten…
Read moreTeeth Whitening Gallery Case 12
Cheryl from Manchester was unhappy with her smile and the shape of her existing teeth. We used 10 veneers with gum reshaping and tooth whitening…
Read moreTeeth Whitening Gallery Case 13
Anna had the zoom whitening treatment, a replacement bridge and 4 upper veneers.
Read moreTeeth Whitening Gallery Case 14
Clara was unhappy with her smile. She had the replacement of multiple old veneers and a session of zoom whitening. She was delighted with her…
Read moreTeeth Whitening Gallery Case 15
This patient had replacement of multiple NHS veneers and a whitening treatment.
Read moreGet in touch
Treatments
Taking your smile in a positive direction
When it comes to a friendly, caring, and professional dentist in Cheadle Hulme, you won’t find better than Cheadle Hulme Dental and Cosmetics. Why not book an appointment by contacting us directly at 0161 486 0743? We look forward to welcoming you.














