Teeth Whitening Gallery Case 16
Michelle had a smile makeover using multiple veneers, bridgework and zoom whitening. She was absolutely delighted with her new smile.
Read moreTeeth Whitening Gallery Case 17
Anne had a course of invisalign treatment to straighten her teeth and then some complimentary whitening.
Read moreTeeth Whitening Gallery Case 18
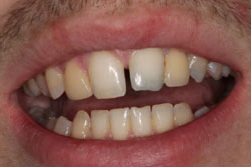
Calvin was unhappy with his teeth and lacked the confidence to smile. He wanted his teeth whiter and disliked the shape of his upper front…
Read moreTeeth Whitening Gallery Case 19
Helen had the 6 month smile brace to correct the crowding of her teeth. This was then complimented by some whitening and some composite fillings…
Read moreTeeth Whitening Gallery Case 20
This lovely patient was unhappy with the shape and appearance of his front 6 teeth. He had an initial course of whitening treatment to lighten…
Read moreTeeth Whitening Gallery Case 21
For this case we replaced some old NHS bridges and in addition used multiple veneers and teeth whitening to improve his smile.
Read moreTeeth Whitening Gallery Case 22
This lady had enlighten teeth whitening and composite non drill fillings on the tips of her teeth to improve her smile
Read moreTeeth Whitening Gallery Case 25
This patient was suffering very badly with gum diasease and was unhappy with her old upper crowns. She had some intensive gum treatment, 4 all…
Read moreGet in touch
Treatments
Taking your smile in a positive direction
When it comes to a friendly, caring, and professional dentist in Cheadle Hulme, you won’t find better than Cheadle Hulme Dental and Cosmetics. Why not book an appointment by contacting us directly at 0161 486 0743? We look forward to welcoming you.














