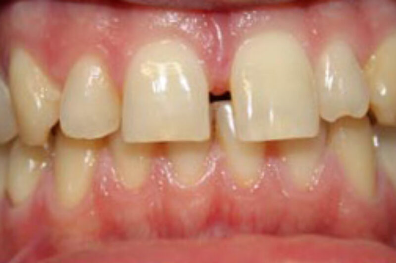
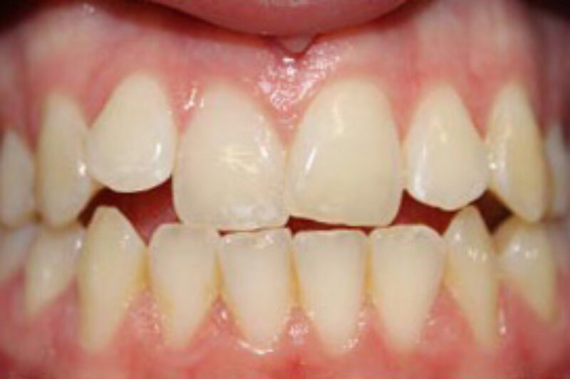
Teeth Whitening Gallery Case 26
This patient from Manchester was very self conscious and unhappy about the large gap between his front teeth. In addition to this, his other front…
Read moreTeeth Whitening Gallery Case 27
This lady from Didsbury was unhappy with the shape, colour of her upper front teeth. The tooth surface were also very pitted. She had 6…
Read moreTeeth Whitening Gallery Case 28
This patient had 6 veneers and teeth whitening to close any spaces between his teeth and transform his smile.
Read moreTeeth Whitening Gallery Case 29
This young lady had a clear Invisalign brace and teeth whitening to allow her to achieve the perfect smile within 7 months.
Read moreTeeth Whitening Gallery Case 30
This lady had teeth whitening and the replacement of her front 4 crowns
Read moreTeeth Whitening Gallery Case 31
This lady had 6 veneers in total and teeth whitening to completely change her smile and give her the confidence to smile again
Read moreTeeth Whitening Gallery Case 32
This patient was unhappy with her upper front four teeth and was soon to get married and cost and time were an issue. We discussed…
Read moreTeeth Whitening Gallery Case 33
This lady presented with severe tetracycline staining and poor NHS veneers on her upper teeth-We opted to treat her minimally and used a long course…
Read moreTeeth Whitening Gallery Case 34
This lady had enlighten teeth whitening and replacement of 6 of her old crowns with all ceramic e-max cosmetic crowns to change the shape and…
Read moreTeeth Whitening Gallery Case 35
A complete smile makeover using enlighten whitening, dental implants and ceramic crowns
Read moreGet in touch
Treatments
Taking your smile in a positive direction
When it comes to a friendly, caring, and professional dentist in Cheadle Hulme, you won’t find better than Cheadle Hulme Dental and Cosmetics. Why not book an appointment by contacting us directly at 0161 486 0743? We look forward to welcoming you.














