Veneers Gallery Case 52
This lovely lady from Cheshire was really unhappy with her old dental bridge and veneers. We used 6 veneers and a 3 unit all porcelain…
Read moreVeneers Gallery Case 53
This patient had suffered with staining on his teeth due to tetracycline. He was also unhappy with the gaps and shape of the teeth which…
Read moreVeneers Gallery Case 54
This lady from Didsbury was unhappy with the shape, colour of her upper front teeth. The tooth surface were also very pitted. She had 6…
Read moreVeneers Gallery Case 55
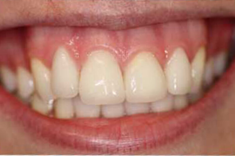
This patient had 6 veneers and teeth whitening to close any spaces between his teeth and transform his smile.
Read moreVeneers Gallery Case 56
This lady had 4 cosmetic replacement veneers to improve the appearance of her smile.
Read moreVeneers Gallery Case 57
This lady had replacement of her old veneers covering 6 teeth in total
Read moreGet in touch
Treatments
Taking your smile in a positive direction
When it comes to a friendly, caring, and professional dentist in Cheadle Hulme, you won’t find better than Cheadle Hulme Dental and Cosmetics. Why not book an appointment by contacting us directly at 0161 486 0743? We look forward to welcoming you.















