Composite Bonding Gallery Case 1
A composite edge bonding case for the front 6 teeth to reverse the teeth wear
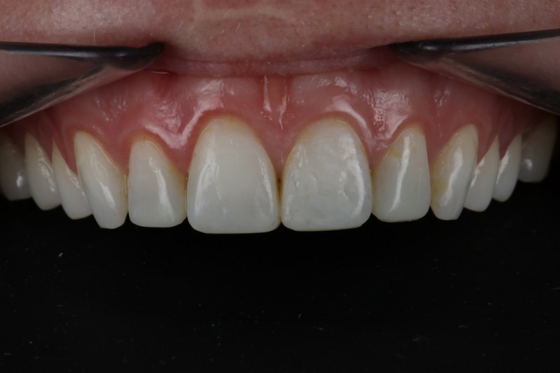
Read moreComposite Bonding Gallery Case 2
This patient came to see us after he had just finished orthodontic treatment with a brace We used 4 composites using the edge bonding technique…
Read moreComposite Bonding Gallery Case 3
this case was treted using upper and lower fixed braces followed by composite bonding
Read moreComposite Bonding Gallery Case 4
This patient had composite bonding on the front 4 teeth to improve the symmetry of them
Read moreComposite Bonding Gallery Case 5
Upper and lower fixed braces were used here, followed by composite bonding to transform this smile
Read moreComposite Bonding Gallery Case 6
This case was treated using a fixed upper and lower brace and composite bonding
Read moreGet in touch
Treatments
Taking your smile in a positive direction
When it comes to a friendly, caring, and professional dentist in Cheadle Hulme, you won’t find better than Cheadle Hulme Dental and Cosmetics. Why not book an appointment by contacting us directly at 0161 486 0743? We look forward to welcoming you.














