Bridge Gallery Case 17
This patient lost his teeth over 20 years ago After many years of wearing a denture, he finally decided to go for an implant supported…
Read moreBridge Gallery Case 18
This tricky case involved replacing a tooth with a maryland bridge to close the space. It is always difficult matching a ceramic tooth to a…
Read moreBridge Gallery Case 19
This was an immediately loaded implant case (all on 4) The bite needed changing and most upper teeth were unsalvagable. All upper teeth were removed…
Read moreBridge Gallery Case 20
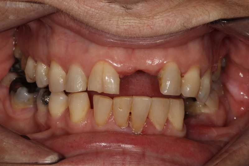
This difficult case involved restoring proportions and closing a space. Gum and bone surgery were done in order to make the teeth longer. A bridge…
Read moreBridge Gallery Case 21
This patient had 4 lower implants and a bridge to enable him to chew and enjoy food again
Read moreGet in touch
Treatments
Taking your smile in a positive direction
When it comes to a friendly, caring, and professional dentist in Cheadle Hulme, you won’t find better than Cheadle Hulme Dental and Cosmetics. Why not book an appointment by contacting us directly at 0161 486 0743? We look forward to welcoming you.















