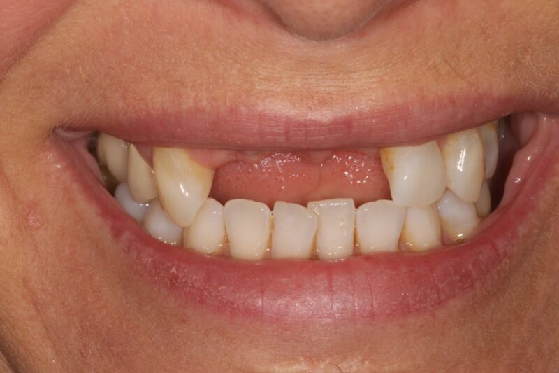
Bridge Gallery Case 22
This patient was unfortunately unsuitable for implants where she had congenitally missing teeth Instead, we used 2 zirconia Marlyand Bridges to close the spaces
Read moreBridge Gallery Case 23
This lady had unfortunately lost her front 2 teeth We used 2 dental implants and a bridge to give her a natural smile by blending…
Read moreBridge Gallery Case 24
Unfortunately implants were not possible for this patient. Instead, we used gold bonets to support a bridge The patient was delighted
Read moreBridge Gallery Case 25
This lady had lost her front teeth some time ago. 2 implants and a dental bridge were used to fill the space
Read moreBridge Gallery Case 26
This patient had lost a large bridge before we saw him and wanted a fixed solution. 2 implants and a new 3 unit bridge were…
Read moreBridge Gallery Case 27
Anna had the zoom whitening treatment, a replacement bridge and 4 upper veneers.
Read moreGet in touch
Treatments
Taking your smile in a positive direction
When it comes to a friendly, caring, and professional dentist in Cheadle Hulme, you won’t find better than Cheadle Hulme Dental and Cosmetics. Why not book an appointment by contacting us directly at 0161 486 0743? We look forward to welcoming you.














